
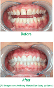
- Natural Looking:
At Anthony Martin Dentistry we ensure that your veneers will have the same natural look, luster & feel as your enamel. - Whiten:
Veneers can brighten teeth, which have been too severely discolored to be fixed with traditional whitening methods. - Correct Irregular teeth:
There is nothing you can do to prevent an irregular or misshapen tooth, but veneers give you the option to correct unsightly teeth and improve your smile. - Fill in Gaps:
Veneers may be a great alternative to braces for closing gaps and fixing crooked teeth, without having to endure the long process of wearing braces. - Conservative:
Veneers are minimally invasive; there is a lot less drilling, so you get to keep most of your original tooth. - Protection:
Once your veneers are in place, they serve as a protective shield helping to strengthen and reinforce the teeth. - Stain resistant & long lasting:
Veneers are non-porous, meaning they are very resistant to stains, ensuring your smile is bright and white for years to come! - Easy maintenance:
To care for your veneers, simply brush twice daily, and floss once a day, just as you would your original teeth! - Gum friendly:
Porcelain does not irritate the gums, and non-abrasive to opposing teeth - Improve self-esteem:
When achieve the smile you always dreamed of, you’re sure to experience a boost in your self-esteem and confidence!
A Long-Lasting Solution for a Radiant Smile
Porcelain veneers are an excellent long-term solution for patients looking to enhance their smiles. With proper care, veneers can last over a decade, providing a lasting and reliable option for those seeking to correct cosmetic dental issues. Their durability, combined with resistance to staining, means your bright, beautiful smile will be preserved for years to come.
A Quick and Effective Cosmetic Fix
If you’re looking for a fast and effective way to improve your smile, porcelain veneers are an ideal option. In just a few visits, you can achieve a dramatic transformation without the need for lengthy orthodontic treatments. Veneers offer a convenient, minimally invasive way to correct various issues such as gaps, discoloration, or misshapen teeth, delivering a flawless look in a fraction of the time.
Boost Your Confidence with a Perfect Smile
A stunning smile can significantly enhance your self-esteem and boost your confidence in both personal and professional settings. Veneers can give you the smile you’ve always dreamed of, free from imperfections. Whether you’re preparing for a big event or simply want to feel more confident in your daily life, porcelain veneers can help you achieve that radiant, picture-perfect smile.
Preserve Your Natural Teeth
One of the key benefits of porcelain veneers is their conservative nature. Unlike crowns, which require significant tooth reduction, veneers involve minimal removal of the natural tooth structure. This means you get to keep most of your original teeth while enjoying the aesthetic improvements of veneers. This minimally invasive approach makes veneers a preferred option for patients seeking a balance between cosmetic enhancement and preservation of their natural teeth.
Veneers for Comprehensive Smile Makeovers
Porcelain veneers are not just for minor fixes; they are an integral part of comprehensive smile makeovers. If you have multiple issues such as discoloration, gaps, and misaligned teeth, veneers can address them all in one treatment plan. By opting for a complete smile makeover, you can enjoy a consistent, harmonious appearance that enhances both the look and health of your teeth.
Easy Maintenance and Care
Maintaining your porcelain veneers is simple and straightforward, requiring no special care beyond your regular oral hygiene routine. Brushing twice a day and flossing once will help keep your veneers—and your natural teeth—healthy and looking their best. Additionally, since porcelain is non-porous, your veneers are highly resistant to staining from coffee, tea, or red wine, allowing you to enjoy your favorite foods and drinks without worrying about discoloration.
Porcelain Veneers: Contact Us Today
Overall, veneers are a very popular and easy procedure, and a great way to get that perfect smile you deserve! Schedule your free cosmetic consultation today!

