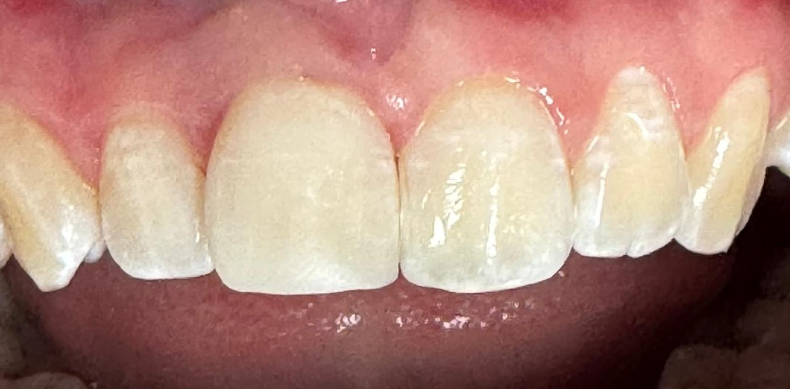
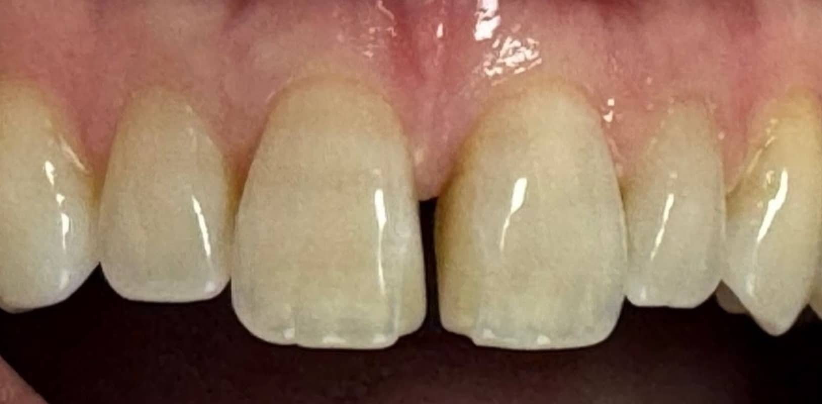
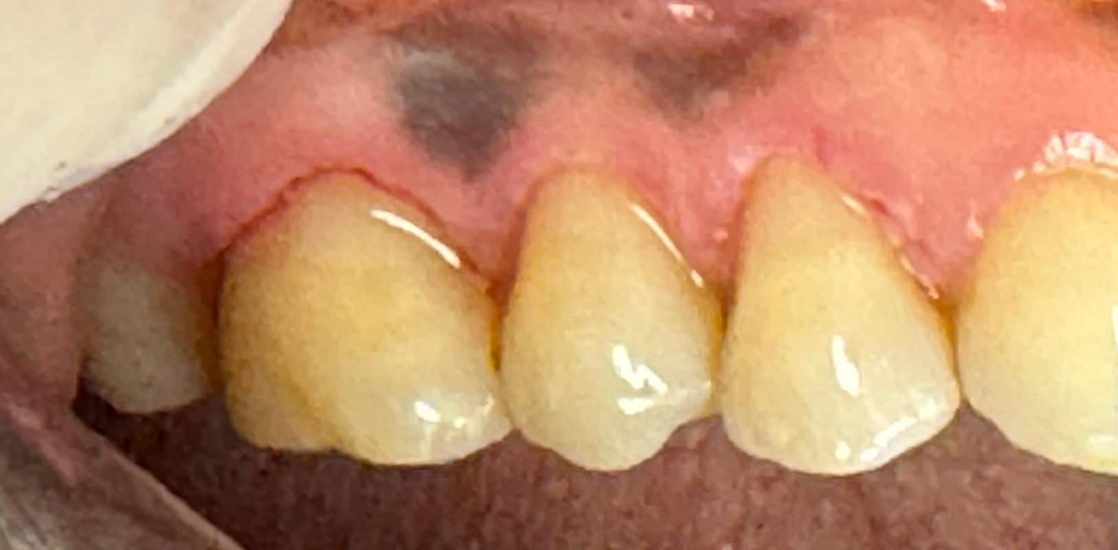
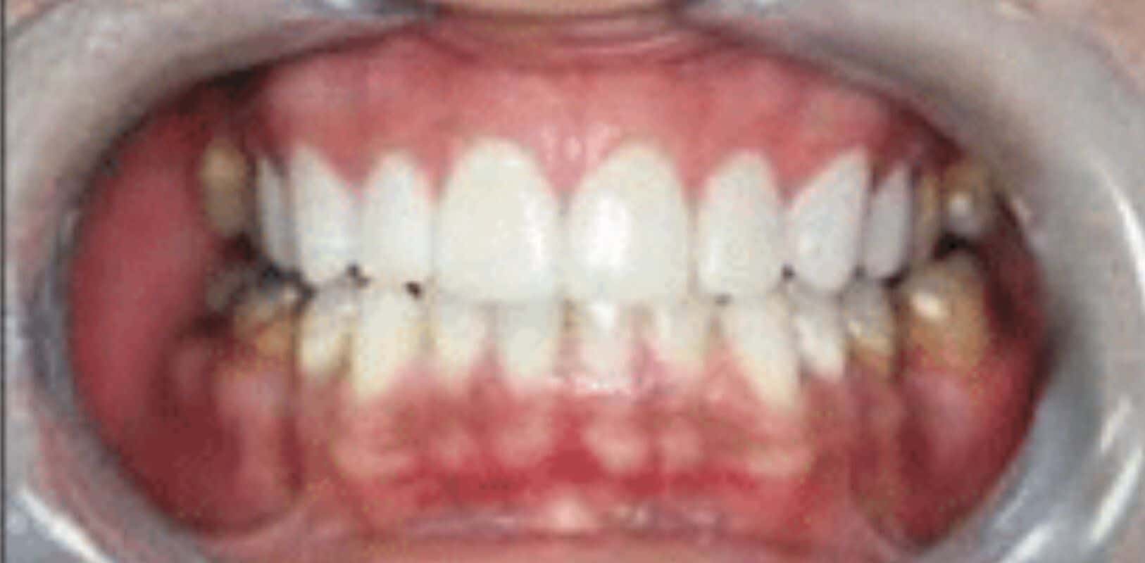
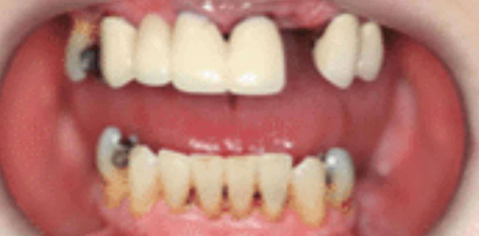
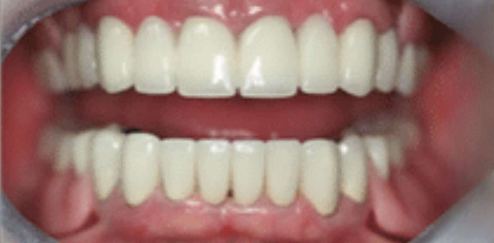
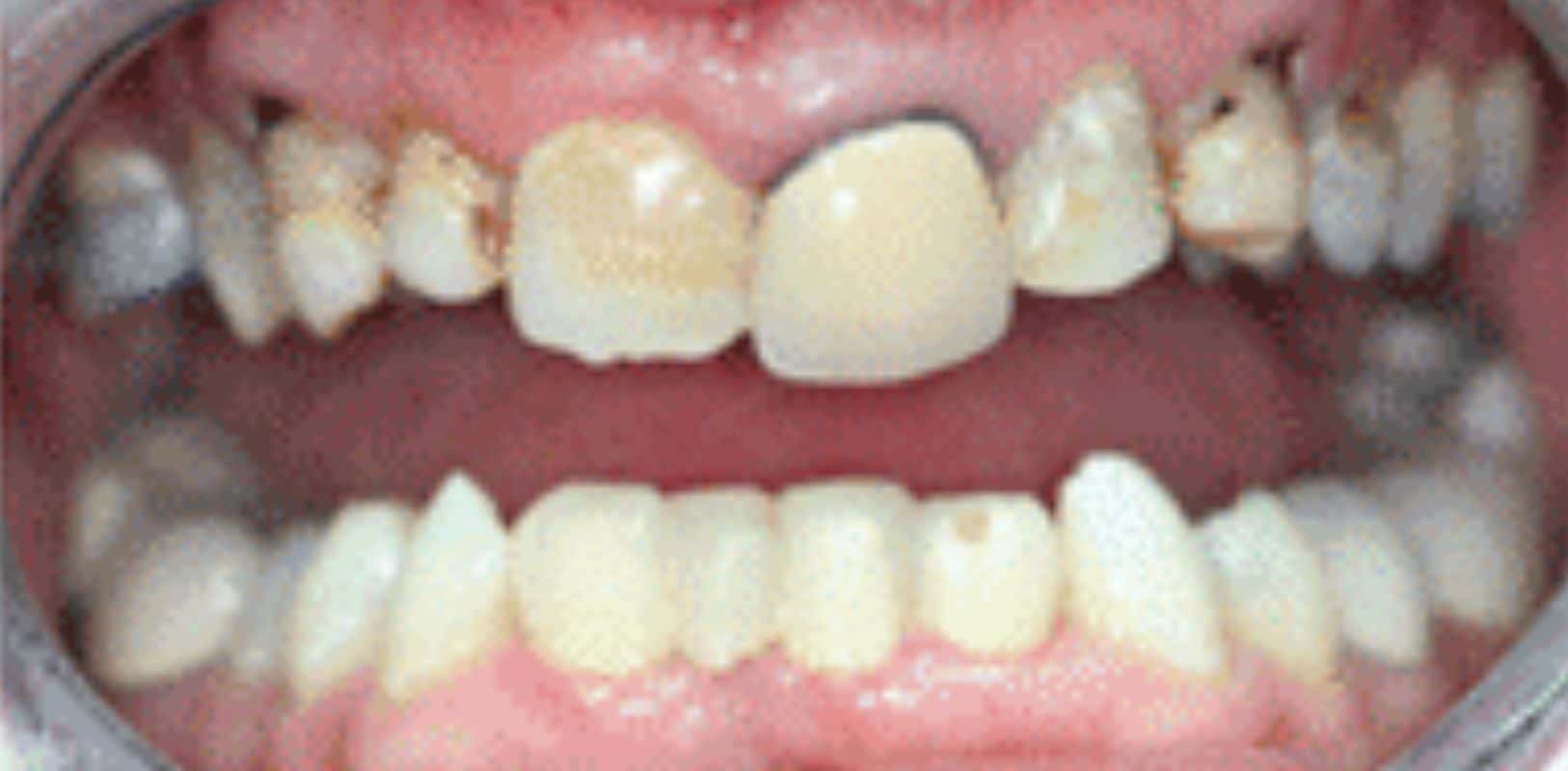
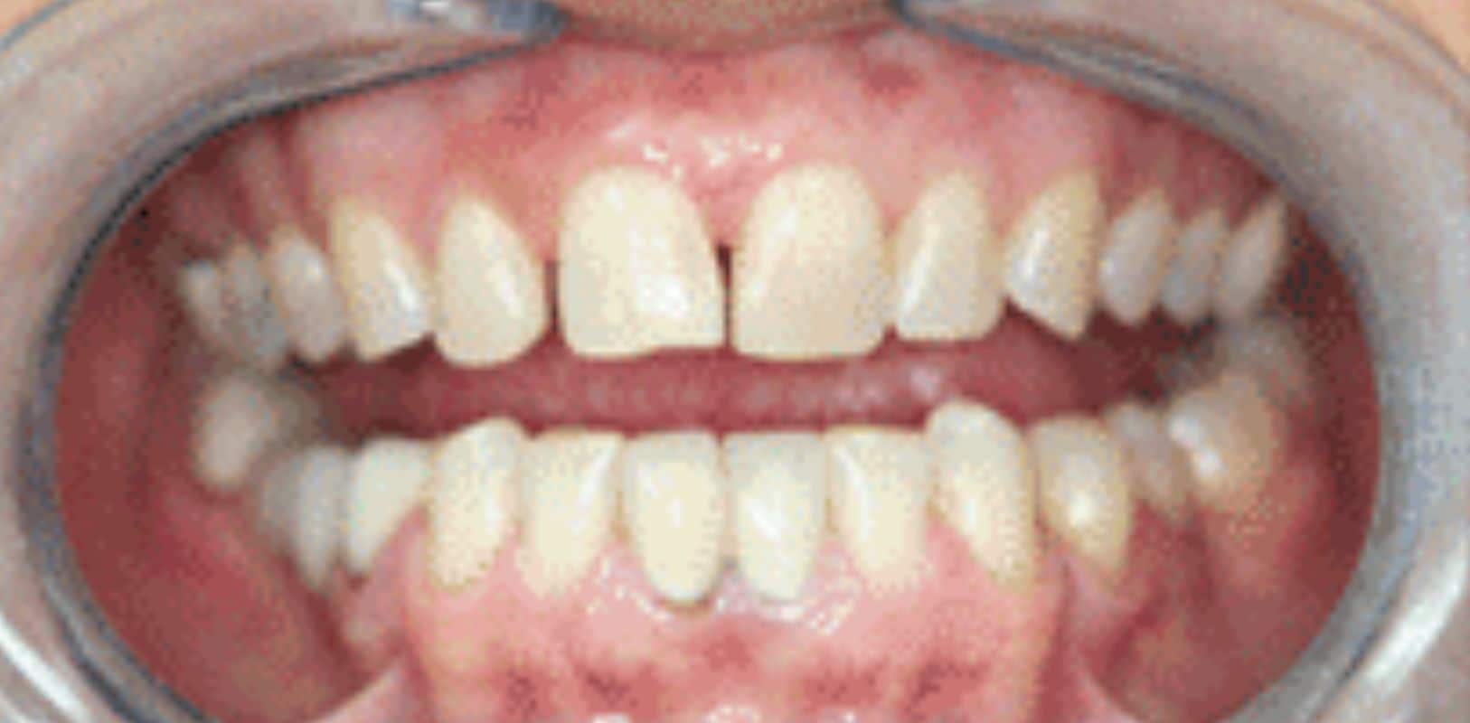
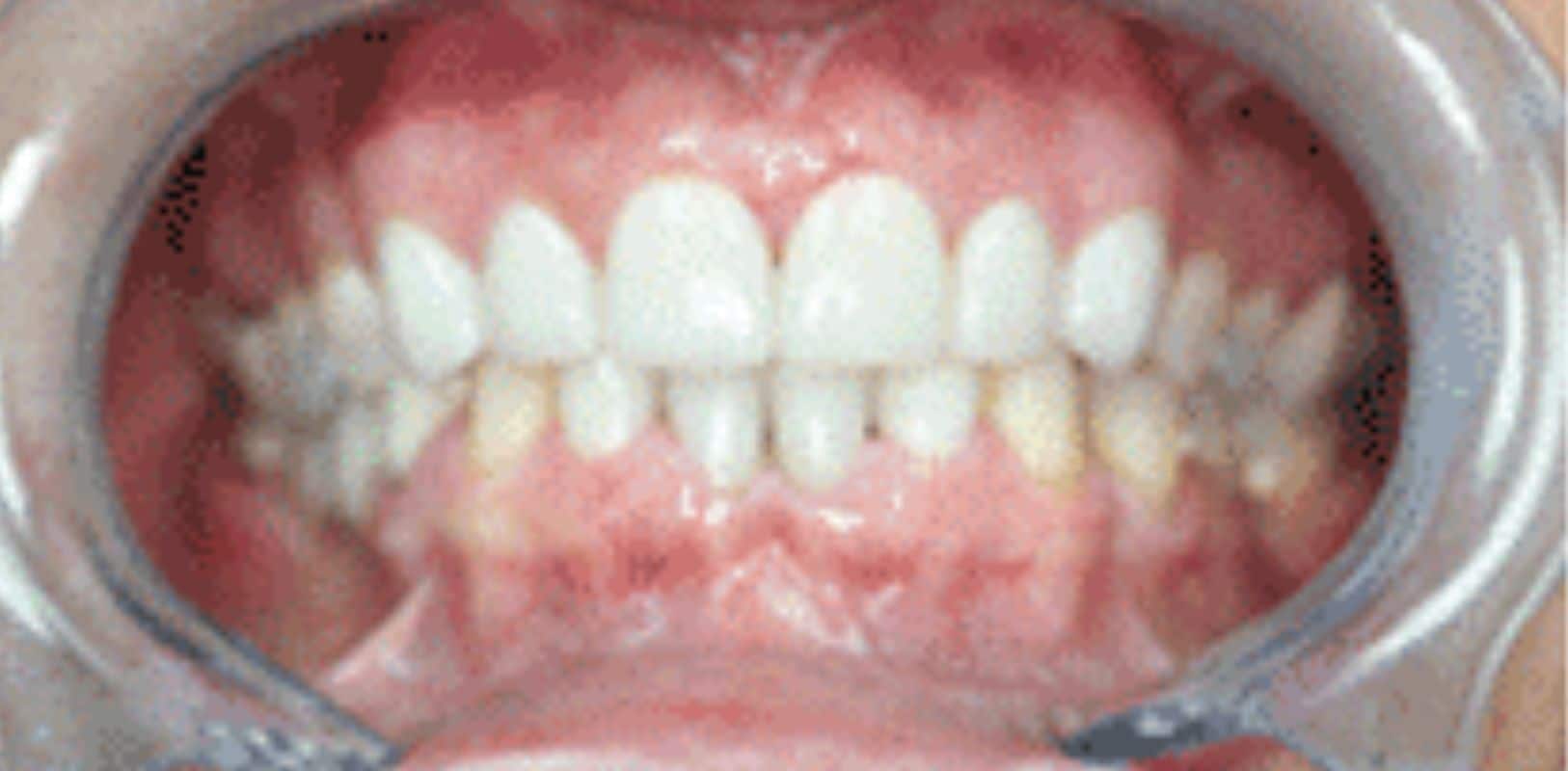
ALL BEFORE & AFTER IMAGES ARE OF ANTHONY MARTIN DENTISTRY PATIENTS




Your Trusted Partner in Dentistry
Comprehensive Dental Care In Yorktown, Virginia
Ready to enhance your dental health with compassionate, expert care? Visit Anthony Martin Dentistry to experience our patient-focused approach in Yorktown, Virginia. Whether you’re looking for cosmetic, reconstructive or general dental care, your perfect smile starts here.






























